Specialized Pain Relief

Expert Root Canal
Care in Chandigarh

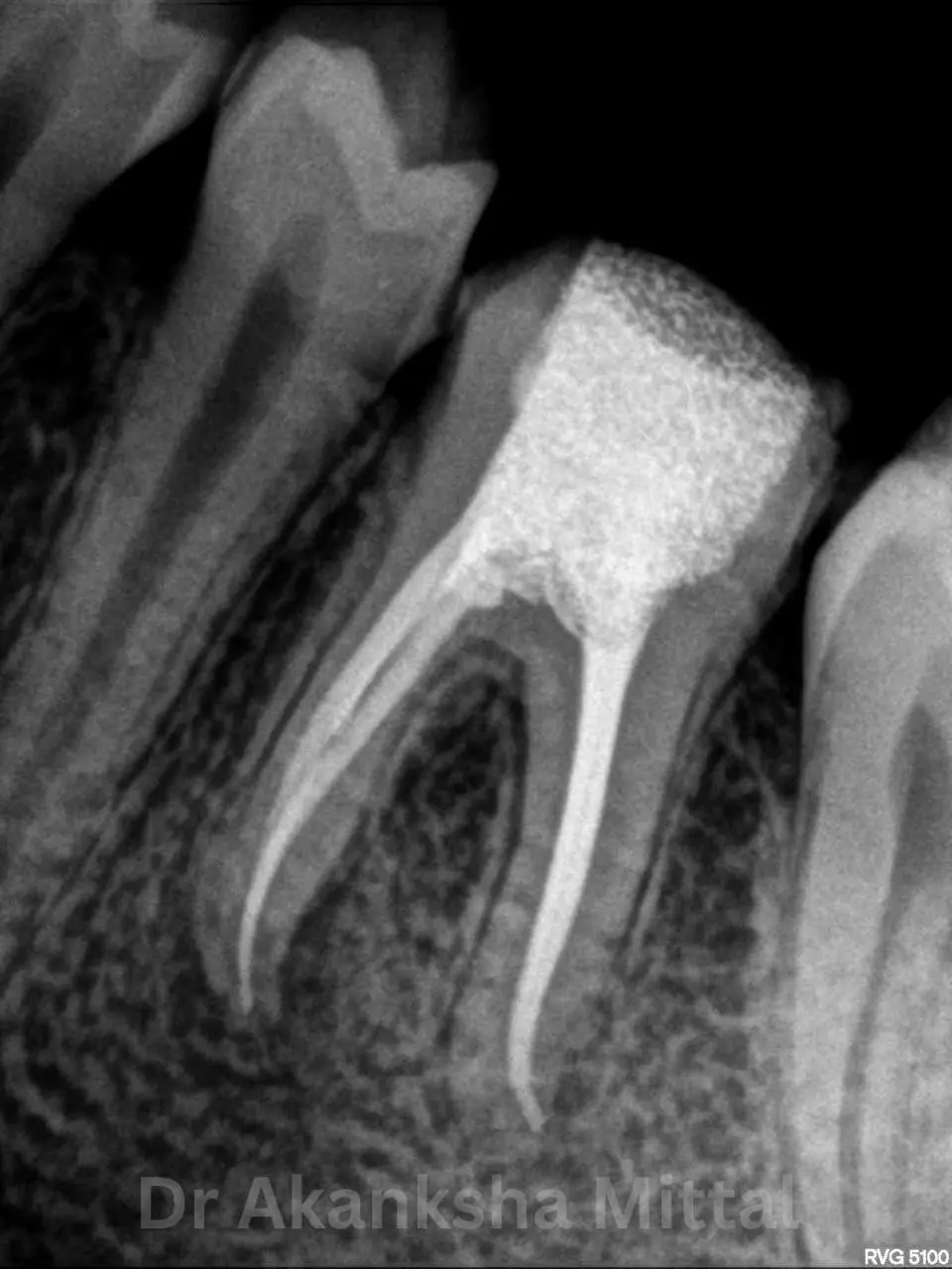
At Teethtime, we specialise in modern root canal treatment designed to eliminate tooth pain and preserve your natural tooth. Under the expert care of Dr Akanksha Mittal (MDS), our clinic uses advanced rotary technology to make your experience gentle and effective.

TeethTime Modern Clinic

Preserving Your Natural Smile

A root canal is recommended when the inner pulp of the tooth becomes infected due to deep decay, cracks, or injury. If left untreated, the infection can cause severe pain and may lead to tooth loss.

Our goal at Teethtime is to remove the infection and restore your tooth’s strength and function using the most advanced dental technology available in Chandigarh.

Relieves Pain

Eliminates tooth pain and infection effectively.

Saves Natural Tooth

Keeps your natural smile intact without extraction.

Chewing Function

Restores normal biting force and efficiency.

Prevents Spread

Stops infection from traveling to other teeth.

Severe or persistent tooth pain

Sensitivity to hot or cold

Swollen or tender gums

Pain while chewing

Darkening of the tooth

Pimple-like swelling on gums

Diagnostic Signs

Signs You May Need a
Root Canal

Early detection is key to saving your natural tooth. If you notice any of these symptoms, early treatment can save your tooth and prevent complications.

Need a checkup? Call us today at 082840 50369

Our Technology

Smooth & Stress-Free Approach

Single-sitting root canal (where suitable)
Modern rotary instruments for precision
Painless and gentle procedure
Strict sterilisation protocols
Long-lasting restorations

Precision Matters

Every procedure at Teethtime is supervised by MDS Specialist Dr. Akanksha Mittal, ensuring the highest standards of clinical excellence.

Visit Our Clinic